Nová strategie léčby rakoviny ledvin
Aktuality — 30.03.2022

Nová strategie léčby rakoviny ledvin

Výzkumný tým pod vedením profesora Jiřího Neužila z Biotechnologického ústavu AV ČR v centru BIOCEV popsal na nádorech ledvin účinek české protirakovinné látky MitoTam v kombinaci s imunoterapií. Práce navazuje na nedávno ukončenou první fázi klinického hodnocení látky. Největší benefit se ukázal právě u pacientů s nádorem ledvin. V jednom z případů došlo ke zmenšení karcinomu ledvin až 30-ti násobně. Získané poznatky budou sloužit při návrhu druhé fáze klinických testů, která by mohla začít již příští rok.

„Jsem velice rád, že se nám podařilo udělat další krok směrem k vývoji českého léku proti nádorovým onemocněním. V našem článku, který dnes publikoval mezinárodní odborný časopis Clinical and Translational Medicin, jsme popsali vliv látky MitoTam v kombinaci s imunoterapií na nádor ledvin u myšího modelu,“ vysvětluje profesor Neužil a dodává: „Za tímto účelem jsme použili myši s funkčním imunitním systémem, což lépe odpovídá situaci u pacientů. Zjistili jsme, že látka MitoTam sama o sobě zabíjí buňky nádoru několika mechanismy, což je u léčby nádorů, které se vyznačují častými mutacemi, výhodné. Hlavním poznatkem výzkumu bylo zjištění, že kombinovaná terapie látkou MitoTam a imunoterapie (takzvané ‚immune checkpoint inhibitors‘) mají na nádory větší účinek než při použití obou přístupů zvlášť.“

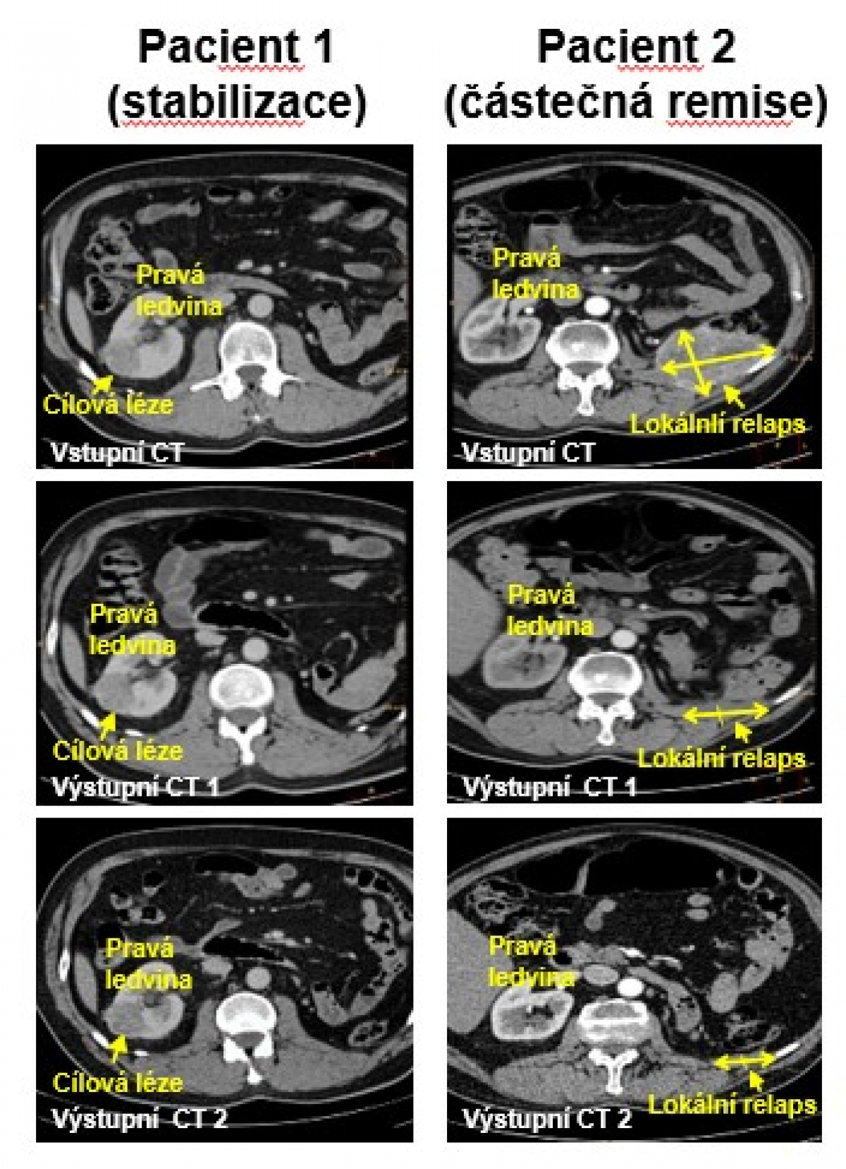
Obrázek: CT skeny nádorů ledvin (metastáz) před léčbou a po léčbě. Pacient 1 – stabilní cílová léze a všechny metastatické nádory. Pacient 2 – lokální relaps v chirurgickém lůžku po odstranění levé ledviny: zmenšení objemu nádoru ze 150 cm3 na 5 cm3, asi 30-tinásobná redukce. Několik metastází je stabilizováno, jedna metastáze v měkké tkáni (poblíž sleziny) není detekovatelná.

 

První fáze testů MitoTamu trvala dva roky a podílela se na ni Všeobecná fakultní nemocnice v Praze. Do klinického testování byli zařazeni pacienti se solidními a metastatickými nádory. Právě pacienti s metastatickým karcinomem ledvin reagovali na léčbu nejlépe.

„Ve druhé fázi je obvyklé kombinovat experimentální látku se zavedeným způsobem terapie, což by mohla představovat právě kombinatorní léčba látkou MitoTam s imunoterapií. Tato publikace je významná nejen z hlediska lepšího porozumění nádorové biologie, ale zejména pro svůj translační potenciál,“ doplňuje profesor Jiří Neužil.

Odkaz na publikaci: https://pubmed.ncbi.nlm.nih.gov/35352502/

Aktuality — Další články