Odhalení zajímavé symbiózy
V nové studii se vědci z týmu doc. Vladimíra Hampla z Katedry parazitologie Přírodovědecké fakulty UK a BIOCEV zabývali složitým partnerstvím mezi anaerobními amébami z rodu Pelomyxa a jejich prokaryotickými souputníky. Pelomyxa, známá svými unikátními symbiotickými vztahy s mnoha prokaryotickými endosymbionty, dlouho vědce mátla pokud jde o roli, kterou tito symbionti hrají v metabolismu svého hostitele. Studie byla publikována v prestižním odborném časopise ISME Journal.
Pomocí jednobuněčné genomiky a transkriptomiky odhalil výzkumný tým skrytá tajemství prokaryotického společenství, kterému se daří uvnitř Pelomyxa schiedti. Toto symbiotické konsorcium se skládá ze dvou různých bakterií, Candidatus Syntrophus pelomyxae (třída Deltaproteobacteria) a Candidatus Vesiculincola pelomyxae (třída Clostridia), spolu s metanogenem známým jako Candidatus Methanoregula pelomyxae.
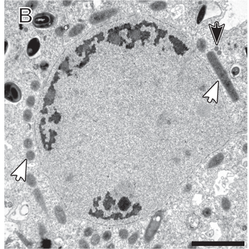
Studie, která byla nedávno publikována v časopise ISME Journal, objasňuje prostorové rozložení těchto symbiontů v hostitelské amébě. Bylo zjištěno, že Candidatus Vesiculincola pelomyxae je lokalizován ve vezikulech, zatímco ostatní endosymbionti jsou volně rozmístěni v cytosolu. Zajímavé je, že Candidatus Methanoregula pelomyxae byl objeven ve větším počtu v okolí jádra.
Hloubková analýza genomů a transkriptomů těchto symbiotických partnerů odhalila jejich metabolické strategie. Předpokládá se, že celulolytická aktivita Pelomyxa schiedti produkuje jednoduché cukry, které slouží jako palivo jak pro její vlastní metabolismus, tak pro Candidatus Vesiculincola pelomyxae. Naproti tomu energetický metabolismus Candidatus Syntrophus pelomyxae se spoléhá na rozklad butyrátu a isovalerátu z prostředí. Pozoruhodné je, že jak bakterie, tak améba využívaly hydrogenázy k usnadnění přenosu elektronů, což je proces závislý na nízkém parciálním tlaku vodíku. Této zásadní regulace dosáhla Candidatus Methanoregula pelomyxae, která využívala H2 a formiát k methanogenezi.

Vědci prováděli experimenty, aby pochopili nepostradatelnost těchto symbiotických interakcí. Zatímco bakteriální symbionty se podařilo eliminovat působením vankomycinu, aniž by byla ovlivněna životaschopnost améb, použití 2-bromoetansulfonátu, specifického inhibitoru metanogeneze, se ukázalo pro améby jako fatální. Toto zjištění podtrhlo význam metanogeneze při přežívání tohoto složitého konsorcia.
Člen výzkumného týmu a první autor studie Dr. Sebastian Treitli k výsledkům uvedl: "Tato studie odhaluje fascinující strategie, které tyto symbiotické organismy používají, aby společně prosperovaly. Zatímco známe mnoho symbióz mezi eukaryoty a archeálními metanogeny, toto je první příklad, kdy je metanogenní symbiont obligátní. Jsme si téměř jisti, že podobná metabolická spojení s ústřední rolí metanogeneze jsou v anaerobním prostředí velmi častá, jen aktéři se mění..."
Tento výzkum nejen doplňuje naše znalosti o symbióze, ale má také potenciální důsledky pro řadu dalších oborů od mikrobiologie až po ekologii. Studie ilustruje složitou a vzájemně propojenou povahu forem života a poskytuje hlubší pochopení křehké rovnováhy, která udržuje ekosystémy.
Titulní obrázek: Transmisní elektronové mikrofotografie buněk Pelomyxa schiedti. - Odkaz na obrázek ZDE
Publikace:
Treitli, S.C., Hanousková, P., Beneš, V. et al. Hydrogenotrophic methanogenesis is the key process in the obligately syntrophic consortium of the anaerobic ameba Pelomyxa schiedti. ISME J (2023). https://doi.org/10.1038/s41396-023-01499-6