Vědci objevili novou funkci proteinu v imunitní odpovědi organismu
Nový hráč na hřišti imunitní odpovědi organismu. Vědcům se podařilo popsat další součástku v „přijímači“ zánětlivých signálů – protein CMTM4. Za objevem stojí tým oborníků z Ústavu molekulární genetiky Akademie věd ČR a 1. lékařské fakulty Univerzity Karlovy v centru BIOCEV pod vedením Petera Drábera a Ondřeje Štěpánka.
Imunitní systém se sestává z obrovského počtu jednotlivých buněk, bílých krvinek. Při imunitní odpovědi musí být všechny buňky koordinovány tak, aby byla potlačena infekce a zároveň se minimalizovaly vedlejší škody v podobě poškození vlastních tkání. Proto bílé krvinky začnou s ostatními buňkami v organismu komunikovat. Imunitními buňkami uvolňovaný protein interleukin 17 (IL-17) funguje jako jeden z klíčových signálů, jenž buňky uvádí do stavu bojové pohotovosti.
Buňka, která takový signál zachytí, spouští specifický typ zánětlivé odpovědi, jenž vede k potlačení některých kvasinkových a bakteriálních infekcí kůže a sliznic. Na druhou stranu, pokud koordinace imunitních buněk z nějakého důvodu selhává, může se spustit autoimunitní systém a dojít obrazně řečeno k jakési palbě do vlastních řad. Právě IL-17 hraje zásadní úlohu v některých autoimunitních chorobách, jako je lupénka nebo psoriatická artritida.
Dosud neznámá součástka s komiksovým názvem
Každá buňka vnímá prozánětlivý signál proteinu IL-17 pouze tehdy, pokud má na svém povrchu příslušný „přijímač“ neboli „receptor pro IL-17“. Pomocí moderního přístupu se spolupracujícím laboratořím Ondřeje Štěpánka z Ústavu molekulární genetiky AV ČR a Petera Drábera z 1. lékařské fakulty Univerzity Karlovy v centru BIOCEV podařilo objevit doposud neznámou komponentu tohoto receptoru.

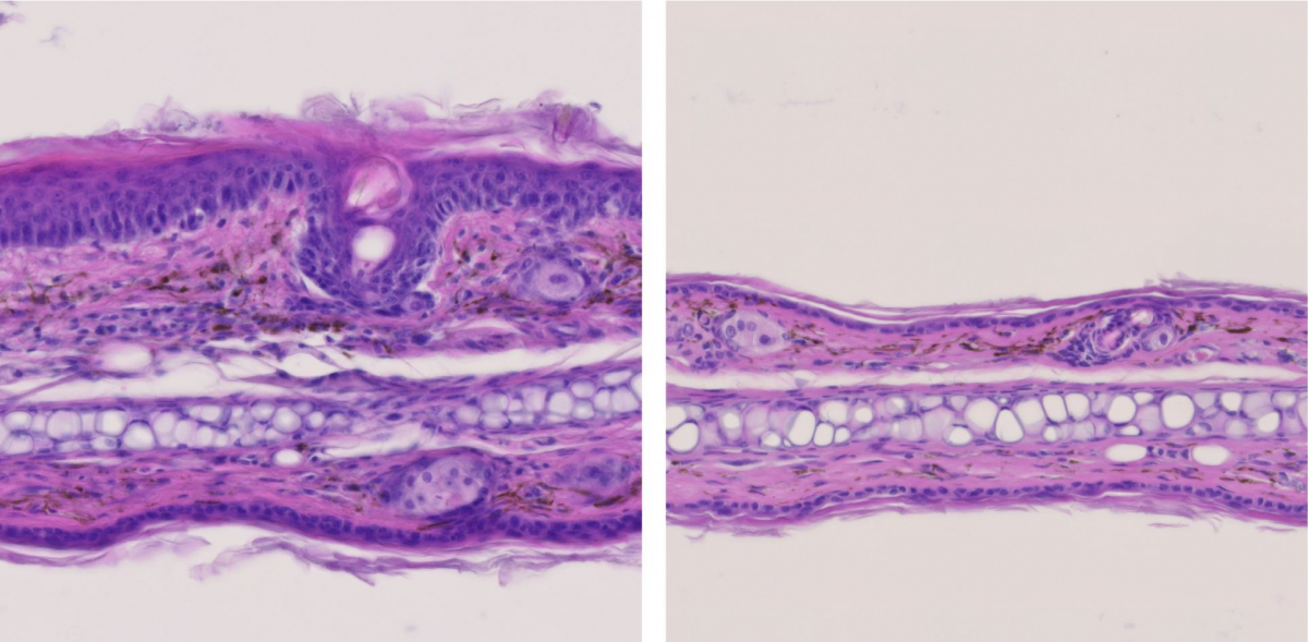
„Jedná se o protein s téměř komiksovým názvem „CKLF-like MARVEL transmembrane domain-containing protein 4“, zkráceně CMTM4. Následný výzkum ukázal, že CMTM4 je nezbytný pro složení receptoru pro IL-17, a tedy pro vnímavost buněk k tomuto signálu,“ vysvětluje Peter Dráber. Pomocí technologie CRISPR-Cas9, která umožňuje editovat genetickou informaci uloženou v DNA, byly připraveny buněčné linie a později i geneticky modifikované myši, jimž příslušný gen pro CMTM4 chybí. „Buňky bez CMTM4 ztratily schopnost reagovat na IL-17. Obdobně myši, které postrádaly CMTM4, byly do značné míry ochráněny před autoimunitní lupénkou,“ dodává Ondřej Štěpánek.
Vzhledem k zásadní roli IL-17 v některých autoimunitních nemocech se nabízí zatím hypotetická možnost, že CMTM4 by mohl sloužit jako cíl pro budoucí terapii těchto onemocnění.
Studie, která významně rozšiřuje poznání o zásadních molekulárních mechanismech imunitního systému, byla publikována v Nature Immunology, jednom z nejprestižnějších imunologických časopisů.
Odkaz na publikaci:
Knizkova D, Pribikova M, Draberova H, Semberova T, Trivic T, Synackova A, Ujevic A, Stefanovic J, Drobek A, Huranova M, Niederlova V, Tsyklauri O, Neuwirth A, Tureckova J, Stepanek O, Draber P (2022). CMTM4 is a subunit of the IL-17 receptor and mediates autoimmune pathology. Nature Immunology. https://doi.org/10.1038/s41590-022-01325-9
Kontakt:
Ondřej Štěpánek
ondrej.stepanek@img.cas.cz
Peter Dráber
peter.draber@lf1.cuni.cz