O nás
Projekt je zaměřen na optimalizaci DNA imunizace proti nádorům vyvolaným lidskými papilomaviry (HPV). Pro zvýšení účinnosti této protinádorové vakcinace jsou sestrojovány různé fúzní geny, které exprimují antigeny s příznivými vlastnostmi, např. s vloženými silnými univerzálními pomocnými epitopy nebo s buněčnou lokalizací směřující antigeny do drah molekul MHC I. nebo II. třídy. Probíhají také pokusy o zvýšení protinádorového účinku DNA imunizace kombinací s jinými imunoterapeutickými přístupy – zablokováním imunitních inhibičních receptorů monoklonálními protilátkami a aktivací toll-like receptorů jejich ligandy.
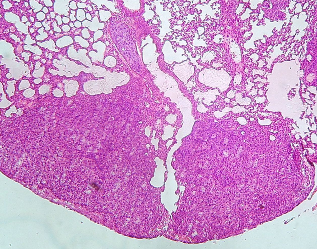
Plicní metastázy u myší
DNA vakcíny podávané genovou pistolí jsou zaměřeny proti virovému onkoproteinu E7, který představuje nádorově specifický antigen. Účinnost imunoterapie je testována na modelech myších nádorů, které jsou v laboratoři rovněž vyvíjeny, včetně odvození linií nádorových buněk se sníženou expresí molekul MHC I. třídy. Protože toto snížení je jedním z nejčastějších mechanismů úniku nádorů před imunitou hostitele, může přispívat k omezenému léčebnému účinku imunoterapie nádorů v klinických studiích.
Pro studium faktorů, které ovlivňují účinek imunoterapie nádorů, jsou myší onkogenní buněčné linie modifikovány systémem CRISPR/Cas9 a jsou analyzovány imunitní reakce vyvolané imunoterapií. Zejména jsou charakterizovány imunitní buňky infiltrující nádory s rozdílnou expresí molekul MHC I. třídy a přispívající k protinádorovému účinku. Dále je analyzována prostorová a časová heterogenita imunitních buněk v nádorovém mikroprostředí. U některých lidských onkogenních virů jsou zkoumány také interakce s plasmacytoidními dendritickými buňkami.
Možnosti spolupráce:
V rámci projektu lze spolupracovat s výzkumnými laboratořemi, které studují nádorovou imunologii, imunoterapii nádorových onemocnění a nádorové únikové mechanismy. Rovněž je vítána spolupráce s klinickými institucemi, které se zajímají o imunitní reakce u pacientů s nádorovými onemocněními nebo které provádějí klinické studie imunoterapie nádorů. Dále je možné spolupracovat s farmakologickými společnostmi v oblasti preklinického testování kombinované protinádorové terapie, která zahrnuje imunoterapii, zejména zablokování imunitních inhibičních receptorů. V těchto studiích může skupina dr. Šmahela nabídnout modely myších nádorů se sníženou expresí molekul MHC I. třídy a analyzovat imunitní reakce pomocí testů ELISPOT a ELISA, imunohistochemického barvení nádorů a fenotypizace imunitních buněk infiltrujících nádor pomocí průtokové cytometrie.
Další informace: Laboratoř imunoterapie