České centrum pro fenogenomiku
Nově vyvinutá protilátka zabírá na všechny hlavní mutace koronaviru, ověřili čeští vědci
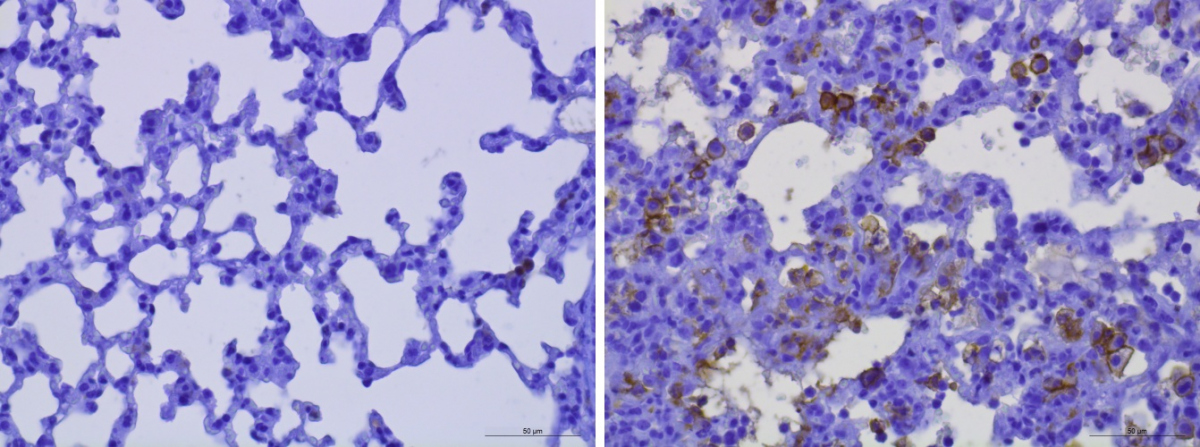
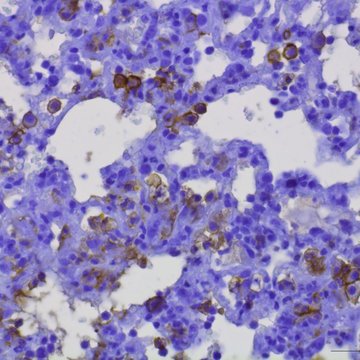
Mezinárodní tým vědců vyvinul dvojitou protilátku, která velmi účinně chrání před koronavirem SARS-CoV-2. České výzkumné laboratoře z Parazitologického ústavu Biologického centra Akademie věd ČR (BC AV ČR) a Českého centra pro fenogenomiku Ústavu molekulární genetiky AV ČR v centru BIOCEV nyní v preklinické studii na myších potvrdily, že nově vyvinutá protilátka funguje na všechny tři dosud známé dominantní mutace viru – britskou, jihoafrickou i brazilskou. Dalším překvapivým zjištěním studie je fakt, že koronavirus dokáže mutovat velice rychle - v laboratoři se stal odolným vůči standardním monoklonálním protilátkám během pouhých dvou dnů, zatímco ale proti dvojité protilátce mutovat nedokázal. Objev představili vědci ze Švýcarska, USA, Itálie, Švédska a České republiky ve čtvrtek 25. března v prestižním vědeckém časopise Nature.
Dvojitou neboli bispecifickou protilátku vyvinuli švýcarští vědci z Biomedicínského výzkumného ústavu v Bellinzoně (Institute for Research in Biomedicine). Jako základ použili různé protilátky z krve pacientů, kteří prodělali covid-19. Tyto přirozené protilátky se běžně používají při léčbě pacientů, mají ale velkou slabinu, virus proti nim dokáže získat odolnost, a léčba pak neúčinkuje. „U kontrolních myší, které jsme léčili jen touto monoklonální protilátkou, virus neskutečně rychle mutoval a stal se rezistentní již během pouhých dvou dnů. To nikdo nečekal a ani předtím nepozoroval. Je to velký vykřičník z hlediska používání protilátek proti covidu-19,“ řekl Daniel Růžek z Parazitologického ústavu BC AV ČR a Výzkumného ústavu veterinárního lékařství, který vedl preklinickou studii. Z tohoto důvodu je potřeba používat směsi různých protilátek, což je ovšem produkčně složité a drahé.
Právě proto švýcarští vědci vytvořili bispecifickou protilátku, v níž spojili dvě přirozené protilátky do jedné molekuly. To přináší řadu nesporných výhod. Jednak tato molekula nahrazuje drahou směs přirozených protilátek za zlomek nákladů, což z ní činí ideálního kandidáta pro léčbu i v chudších oblastech světa. Jednak molekula cílí současně na dvě nezávislá místa ve struktuře viru, což brání viru uniknout útoku, ale i mutovat, a tak vykazuje bispecifická protilátka vysokou účinnost. „Víme, že naše protilátka funguje na všechny tři dominantní mutace viru – britskou, jihoafrickou i brazilskou. Na základě strukturních modelací lze předpokládat, že bude účinná i na další minoritní mutace,“ uvedl Daniel Růžek s vysvětlením, že je nepravděpodobné, aby virus nově zmutoval na obou dvou místech, kam bispecifická protilátka míří, a současně si zachoval schopnost být plně virulentní. Navíc, jak prokázaly testy, bispecifickou protilátku lze použít jak pro léčbu nakaženého pacienta, tak i preventivně podobně jako očkování, přičemž ochrana je okamžitá a může trvat několik týdnů nebo měsíců.
Úspěchu preklinického testování bylo možné dosáhnout především díky unikátnímu myšímu modelu, který speciálně pro infekci SARS-CoV-2 vyvinuli vědci z Českého centra pro fenogenomiku, národní výzkumné infrastruktury v centru BIOCEV. „Běžnou laboratorní myš totiž koronavirus nenapadá a nelze ji tak na výzkum použít. Jelikož vhodný model ke studiu infekce a terapie nebyl dostupný, vyvinuli jsme model na novém principu, využívající AAV-vektor (podobný jako u některých vakcín), který vnese do experimentálního zvířete právě hACE, který je vstupní branou koronaviru do buňky. Model je poměrně unikátní i ekonomický a velmi dobře reprezentuje těžké případy nemoci, které pozorujeme u člověka,“ uvedl Radislav Sedláček, vedoucí Českého centra pro fenogenomiku (Ústav molekulární genetiky AV ČR v centru BIOCEV).
Vysoká účinnost a celková charakteristika nové bispecifické protilátky jsou klíčovým argumentem pro zahájení klinické studie u lidí. Výzkumné konsorcium již v současnosti vede jednání s potenciálním farmaceutickým partnerem.

Na preklinické studii se kromě výše zmiňovaných Biologického centra AV ČR v Českých Budějovicích a Českého centra pro fenogenomiku ve Vestci u Prahy rovněž podílely Výzkumný ústav veterinárního lékařství v Brně, Ústav organické chemie a biochemie v Praze a Vojenský zdravotní ústav v Těchoníně. Úspěchy českých vědců na poli výzkumu koronaviru a jejich okamžité efektivní zapojení do boje proti pandemii dokazují, že české know-how patří ke světové špičce. V České republice je však virologický výzkum roztříštěný do menších laboratoří na několika institucích a dosud chybí vhodná infrastruktura na národní úrovni, která by jej sjednotila a poskytla adekvátní základnu pro jeho další rozvoj. Potřebný impuls by mohlo přinést zamýšlené Virologické centrum, pro nějž vyjednává Akademie věd ČR podporu na vládní úrovni.
Bispecifická protilátka byla vyvinuta v rámci výzkumného konsorcia ATAC, financovaného Evropskou komisí v reakci na pandemii COVID-19. Mezi další členy patří nemocnice San Matteo v Pavii (Itálie), Karolinska Institute (Švédsko), Braunschweig University (Německo), Společné výzkumné středisko Evropské komise, Rockefellerova univerzita (USA) a Kalifornský technologický institut (USA). Na české straně byl výzkum podpořen z prostředků Ministerstva školství, mládeže a tělovýchovy a dále Grantovou agenturou České republiky.
Publikace je dostupná on-line na https://www.nature.com/articles/s41586-021-03461-y
De Gasparo, R., Pedotti, M., Simonelli, L. et al. Bispecific IgG neutralizes SARS-CoV-2 variants and prevents escape in mice. Nature (2021). https://doi.org/10.1038/s41586-021-03461-y
Zdroj: Biologické centrum AV ČR